国庆长假期间,众多游客倾向于选择一种行程紧凑的“特种兵”旅行方式,其目的是为了品尝丰富多样的美食、观赏壮丽的美景并记录下众多美好的照片。然而,这种旅行模式也隐藏着不少健康风险。以17岁的小雯在长沙游玩时不幸遭遇的意外事件为例,这一事件向游客们敲响了警钟。
旅游热潮中的紧凑行程
旅游活动当前颇受欢迎,众多人群渴望在短暂假期内游览更多地方。以国庆节为例,众多游客纷纷涌向各大热门城市。高中生小雯便是其中一员,尽管学业繁重,闲暇时间不多,但她仍抓住国庆假期来到长沙这座省城,一天之内便游览了多个景点。这种现象并非个别,众多城市的热门景点都可见到这类急于打卡的游客。这种趋势导致许多人过度压缩行程,使得原本愉快的旅行背后隐藏着身心疲惫的代价。
在追求高强度的旅游体验以满足个人需求的过程中,游客或许并未察觉,他们的身体正承受着极大的压力。他们热衷于创造更多美好的回忆,但往往在过度劳累中,身体的耐力极限被突破。
小雯的长沙之旅
国庆节期间,湖南怀化的学生小雯与同学们一同前往长沙游玩。他们参观了众多知名景点、热闹的商场以及受欢迎的餐馆。经过两天紧凑的游览,10月3日午后,小雯的身体状况出现异常,出现头晕、恶心和全身无力的症状。起初,她以为这只是因为过度劳累,稍作休息就能恢复。但第二天,病情恶化,她甚至失去了意识,随即被紧急送往湖南省人民医院急诊一部接受救治。
小雯及其同伴不幸遭遇了意料之外的变故。原本充满欢乐与期待的旅行,瞬间被不幸笼罩。小雯满怀期待,渴望体验长沙的独特魅力,却不幸在旅途中遭遇严重身体不适。这一突发状况,使得她与同伴共同陷入了一场突如其来的、深重的恐慌。

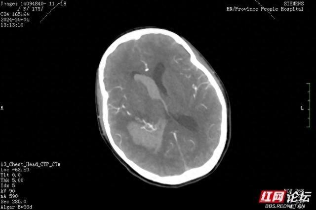
医院确诊病情严重
小雯抵达医院后,急诊科对她进行了头部CT扫描。结果显示,她的颅内发生了出血。不久,她被转移至神经外科一病区。经过头部CTA和DSA检查,诊断结果为“右侧颞顶枕叶脑出血破入脑室”,同时伴有“大脑血管动静脉畸形”。病情相当严重,神经外科的医生们对此高度重视,不敢有丝毫懈怠。
当时医生诊断出,小雯病情的复杂程度由多种因素造成。她患有先天的脑血管畸形,这一状况与遗传有着密切的联系。在她的家族史中,其父亲不幸因脑出血离世。更令人担忧的是,血管畸形位于负责肢体运动的关键区域附近,这在手术中如同埋下了一颗定时炸弹。任何手术中的微小失误,都可能让小雯面临瘫痪的威胁。
紧急手术及难度

神经外科孙圣礼主任医师,在完成对小雯病情的综合评估和术前准备工作后,于10月4日晚间,在麻醉科和手术室的协同支持下,对小雯进行了手术。此次手术是在急诊全麻状态下进行的,旨在清除右侧脑内血肿并切除动静脉畸形。手术历时约4小时,对于在手术室外焦急等待的小雯的亲属和朋友来说,这段等待无疑是漫长且充满煎熬的。
手术过程中,外科团队面临了严峻挑战。他们必须在清除血肿及切除血管畸形的过程中,小心避免损伤邻近的肢体运动功能区神经纤维。头部CT及CTA检查显示,血管畸形团与神经纤维紧密相邻。孙圣礼主任在手术中犹如在细如钢丝的生命线上行走,每一步都需极为谨慎,以避免对小雯造成不可逆转的伤害。
术后恢复情况良好
孙圣礼主任医师带领的团队与麻醉科手术室团队通力合作,手术过程顺利进行。术后,小雯转入恢复阶段,神经外科一病区的医护团队精心护理,她的健康状况逐渐好转。复查CTA检查发现,血管畸形已完全消失,这一好消息让所有关注小雯的人们感到安心。
手术的顺利完成为患者带来了显著的康复成效,这一成果归功于医疗团队在手术及术后护理阶段的专业技术和高度责任感。小雯在度过生命危机之后,逐步踏上康复之旅,重新燃起重返正常生活的希望。这一过程无疑是整个医疗救治过程中最让人感到欣慰的部分。
医师温馨健康提醒

孙圣礼主任医师对小雯的病症进行了提醒,强调脑血管畸形在初期可能没有明显症状。然而,部分患者可能会经历头晕、头痛或癫痫等不适。若个人出现这些症状,并且家族中存在直系亲属患有脑血管疾病或遭遇过脑血管意外,应立即去医院接受全面检查。目的是为了实现早期发现、早期诊断和早期治疗。
对于那些处于高风险状态或频繁进行高强度“特种兵”式旅行的人群来说,这样的提醒显得尤为重要。众多读者朋友们,你们是否曾有过行程安排过于紧凑的经历?欢迎在评论区分享你们的体验。此外,也欢迎点赞和转发本文。