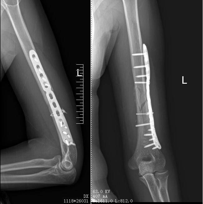
多人掰手腕骨折案例
近期,一款备受欢迎的竞技游戏——掰手腕,却给参赛者带来了意外的伤害。27岁的韩女士在陪同朋友参加女子组比赛时,仅用不到半分钟的时间,由于用力过猛,不幸导致上臂肱骨螺旋状骨折。术后,韩女士身上留下了约30厘米的显著疤痕,康复过程异常艰难。29岁的张女士,在单位举办的拔河比赛中获胜后,不幸遭遇骨折。经核实,患者左侧肱骨中下段区域存在骨折情况。同时,左侧上臂的桡神经亦遭受损伤。16岁少年小陈在课间休息期间,参与类似活动时不幸遭遇骨折。

医院病例统计情况

郑州市骨科医院的研究表明,每年有超过十位患者,包括张女士和小陈,因参与拔河活动导致骨折。骨折多发生在肱骨中下段。这一数据警示公众,拔河运动可能存在安全隐患,应引起重视。
骨折原因力学分析
该活动与握力技巧及作用力点紧密相关。在握力竞赛中,手腕和手掌的肌肉需用力,此外,前臂的屈肌等多组肌肉群亦参与其中。肱骨下端承受着显著的旋转压力,其受力点主要位于中间偏下区域。当对对手施加外旋力时,自身的内旋肌肉群产生内旋力,这两种力量在肱骨最易受损的部位产生剧烈扭转,极易引发螺旋形骨折。
不利因素加重损伤

当前,许多年轻人运动不足,倾向于饮用碳酸饮品,且常熬夜。这些不良习惯可能导致骨质疏松,使骨骼更加脆弱。在进行拔河等体育项目时,骨密度降低显著增加了受伤的可能性,即便是轻微的拉扯也可能导致骨折。特别是儿童以及中青年群体,儿童正经历骨骼的成长阶段,其骨骼尚未达到完全成熟的状态;同时,中青年群体中的一部分成员因不良的生活习惯,导致骨骼变得较为脆弱,从而更易遭受损伤。
伤害后果严重程度
竞技扳手腕赛事中存在潜在安全风险。操作不当可能导致伤害。患者可能遭受腕、肘、肩关节的韧带及肌肉损伤,影响日常生活。在极端案例中,如韩女士、张女士所遭遇,可能出现肱骨中下段骨折,并伴随神经损伤。此类患者须承受漫长的痛苦恢复过程,且有可能遭受后遗症困扰,进而对他们的身体机能造成影响。
掰手腕防护建议
在进行手腕力比赛时,务必严格遵守安全准则。首先,要进行充分的热身,包括肘腕关节的运动,以使上臂和手腕能够适应拉力,降低因用力过猛而受伤的风险。此外,保持正确的姿态也十分关键,不当的姿势可能导致骨骼因过度拉伸而断裂等严重伤害。

在日常生活中,我们常常目睹有人因扭手腕而受伤的情况。诚邀您在评论区分享您的亲身经历。此外,别忘了点赞并转发本文,帮助更多读者认识到扭手腕可能存在的安全隐患。