近期,黑龙江中医药大学附属第一医院介入科传来喜讯。该院成功实施了针对肝脏多发性占位病变的两次手术。这一成就不仅标志着医疗技术的重大突破,同时也为患有此类疾病的患者带来了新的治疗可能性。
患者病情引发关注
黑龙江中医药大学附属第一医院近期接诊了一位罕见病例患者。患者为71岁的尚女士,经检查确诊为胃癌。因腹部发现异常肿块,尚女士至外四科(微创外科)寻求救治。尽管尚女士目前未出现明显不适,但医生在其检查中发现胰头区和肝脏存在多处占位性病变。病情的复杂性引起了医生的高度关注。为此,医院于20XX年X月X日举办了病例讨论会,邀请介入科、外四科及CT磁共振科的专家共同参与,旨在探讨治疗方案。

医生对疾病潜在的风险有着深刻的洞察,同时明确每一次的治疗选择对患者的生命安全具有决定性影响。在相似的病例中,错误的诊断或不当的治疗常常会迅速加剧患者的病情。
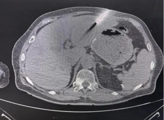
肝穿刺活检是一项关键的微创医疗手段,依赖影像设备的精确指引,通过细针进行精确的穿刺操作。其目的是为了获取病变区域的组织样本,进而进行病理学检测。尤其是在CT引导下进行的肝穿刺活检,该技术展现出其显著的优越性。
在20XX年X月X日的手术中,该技术利用高精度成像技术实现了精确的定位,从而确保了手术的精确度。在手术前,医生通过CT影像对胰头和肝脏的多发病变进行了详细的分析,精确确定了病变的确切位置,并对周边的解剖结构进行了细致的评估。手术期间,CT的实时定位功能确保了穿刺针能够准确穿过肋间,直接到达肿瘤区域,并精确引导至目标病变。在此过程中,操作者巧妙地避开了邻近的关键血管和胆管,成功采集到了病理组织样本。
计算机断层扫描技术的持续进步,为精确手术的实施打下了坚实的基础。这项技术在全球范围内广泛使用已有数年,每一次手术的成功完成,都给患者带来了巨大的快乐。
患者接受了在CT引导下进行的肝脏穿刺活检手术,手术成效显著。术后,患者并未感受到明显的不适,这一现象直接反映了手术的高效性。尤为重要的是,病理检查的结果十分明确。该结果于20XX年X月X日得到了最终的确证。
确切的病理诊断为制定后续治疗方案提供了坚实的科学基础。这一成果突出了微创手术在疗效与安全性上的优势,尤其是在与常规开腹手术相较之下,这一优势更为突出。相比之下,常规手术术后并发症的比率较高,而微创手术则有效减少了这些问题的发生。

肝动脉化疗栓塞术的原理
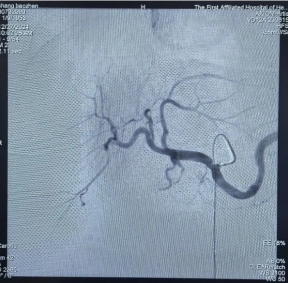
肝动脉化疗栓塞术(TACE)属于微创治疗范畴,涉及将抗癌药物和栓塞剂注入动脉。此方法在肝癌及肝转移瘤等疾病治疗中得到了广泛运用。
该医院在治疗患者肝脏多发病变过程中,采纳了DSA技术辅助的精确手术方法。手术于20XX年X月X日实施,患者接受了局部麻醉,并通过股动脉穿刺成功置入导管。导管尖端精准定位至肝总动脉。随后,运用高压注射器进行造影,清晰显现了肝左叶病灶的供血动脉路径。继而,将微导管送入肝左动脉,并注入了含碘化油的乳化剂。
该技术通过阻隔肿瘤的供血动脉来实施其功能,该策略源于扎实的医学研究。众多临床试验数据证实,中断肿瘤的血液供应能够有效遏制肿瘤的扩散。
手术过程中观察到,碘化油在肝脏左侧病变区域显著聚集,显示出药物在此区域的滞留效果显著。为此,术中采取了分次缓慢注射的方法,以提升疗效并降低潜在副作用。此技术能精确阻断肿瘤血供,最终实现病灶消融。
术后患者恢复状况优良,依据20XX年X月X日的病历记录,未见严重并发症。目前,医疗单位正依据患者术后恢复状况制定后续治疗方案。此情况亦证实了该治疗方法的安妥性与实效性。

两项手术的重要意义

肝脏疾病的诊断与治疗在医学领域构成了一个重大挑战。CT引导下的肝穿活检技术凭借其精确的定位和较高的安全性,已成为肝脏诊断领域的黄金标准。该技术已在我国众多顶尖医院中得到广泛应用,有效地协助众多患者明确了病情。
DSA辅助的肝动脉化疗栓塞技术(TACE)在阻断肿瘤血液供应方面表现出显著效果,有助于抑制肿瘤增长,成为恶性肿瘤综合治疗的关键手段之一。黑龙江中医药大学附属第一医院成功施行了该技术,体现了其在肝脏疾病治疗领域的领先地位,同时为众多患者带来了康复的曙光。
欢迎在评论区发表您对肝脏疾病诊疗的看法或个人经历,同时期待您对本文的点赞和传播。