奶茶,广受年轻消费者青睐的饮品,凭借其独特的风味和多样化的口味,成为了许多人的“快乐之选”。但伴随其普及,一系列健康疑虑亦逐渐显现。本篇文章将详析奶茶对口腔健康的潜在影响,并探讨如何在享受与维护健康之间寻求平衡。
奶茶的甜蜜诱惑

奶茶之吸引力源于其甜蜜的味觉体验与多层次的风味。无论是深沉的奶香还是清新的茶韵,均激发强烈的渴望。尤其是对青年群体,奶茶不仅是一杯润喉之饮,亦代表社交与休闲的途径。然而,这种享受背后,潜藏着不容忽视的健康风险。
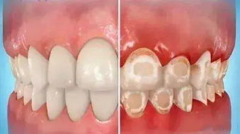
牙齿酸蚀症的悄然来袭
近年来,青少年群体中频繁饮用奶茶导致“牙齿酸蚀症”病例增多。病症特征为牙表面矿物质流失、软化和白斑形成,严重病例可致牙齿脱落。专家指出,奶茶中的高糖和酸性物质为主要诱因。长期摄入此类饮品不仅影响牙齿健康,还可能引起牙齿色泽变化,损害美观。
奶茶中的隐形糖
众多观点认为,选用低糖或无糖奶茶能规避过量糖分摄入风险。实则不然。即便是低糖或无糖奶茶,仍含大量“隐形糖”。此类糖分虽不显著增加饮品甜度,却足以损害牙齿。而且,奶茶中的奶精和茶粉等成分,也可能含有对牙齿健康有害的物质。
奶茶与口腔清洁
奶茶对牙齿的伤害,除糖和酸外,亦受饮用持续性与口腔卫生习惯影响。不少人在夜时段学习时饮用奶茶,此期间延长的糖分暴露,伴随未及时清洁口腔,会增强龋病风险。因此,维持良好的口腔卫生对维护牙齿健康极为关键。
奶茶的健康替代品
为确保享受奶茶之乐且维护牙齿健康,可选用健康饮品替代。如挑选无糖或低糖茶饮,或自制含牛奶与新鲜水果的饮品。这些替代饮品口感爽口,营养充沛,助益牙齿保健。
家长的引导与监督

在青少年阶段,家长的指导和监管至关重要。家长需辅导子女培养健康的饮食习惯,并限制其过量摄入如奶茶等高糖饮料。此外,家长应定期带子女进行口腔健康检查,以便及早发现及解决牙齿问题。
平衡享受与健康
奶茶因其独特的风味和吸引力广受欢迎,但为了维护健康,应平衡其享受与保持牙齿卫生的关系。适量饮用,强化口腔卫生,探索健康替代品,都是维护牙齿健康的关键策略。
品鉴奶茶的甘甜之余,亦应深思如何优化牙齿保健措施。欢迎于评论区交流您的见解与经验,共议如何在味蕾满足的同时,坚持健康的生活模式。