近期,甲状腺相关疾病成为公众关注的焦点。特别是在青年群体中,甲状腺癌的发病率明显上升。这一趋势引发了人们对于甲状腺疾病为何成为新的关注焦点的深入思考,这一问题在众多人的心中留下了深刻印象,难以消散。

甲状腺疾病的检查发现

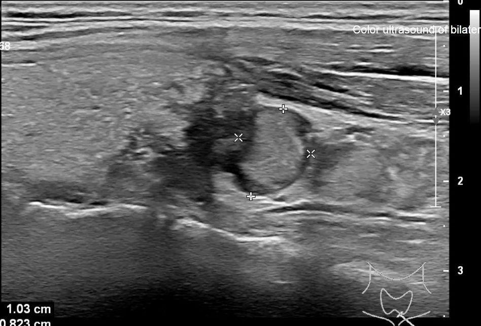
在医院里,小美这类病例并不罕见。她按照医嘱接受了超声波检查,检查结果显示,她的甲状腺左侧叶存在一个直径约2.5厘米的结节,同时在左侧颈部发现了一个直径为1厘米的淋巴结。据统计,全球约有30%至50%的人在其一生中可能检测出甲状腺结节,其中,40岁以上的女性发病率高于男性。《中国癌症报告》指出,在过去20年里,女性甲状腺癌的发病率增速显著超过男性。
需注意的是,超声检查中,若甲状腺结节形态不规则、边缘模糊,其恶性可能性约为10%。特别是对于有甲状腺癌家族史或颈部曾受辐射的人群,恶性结节出现的几率会明显上升。对于被超声诊断为1/2/3类、直径不足1厘米且无症状的结节,一般建议进行观察及定期复查。
甲状腺癌的预后情况
甲状腺癌通常被认为是一种治疗效果较好的癌症,其中乳头状癌的预后相对较好。众多患者接受了甲状腺全切除手术,这一手术在癌症治疗中证明是有效的。然而,术后可能会出现并发症,例如声音受损等问题。医生指出,这些并发症相关的症状通常会在一段时间内逐步改善。尽管手术技术已经相对成熟,但风险仍然存在,部分患者可能会遭受术后并发症的困扰。

甲状腺乳头状癌患者若仅接受部分切除手术,通常需在手术五年后评估是否可停止使用甲状腺激素药物。然而,若肿瘤已蔓延至周边器官或发生淋巴结转移,患者术后还需额外接受碘131治疗。
甲状腺疾病的成因
甲状腺疾病的形成因素众多。其中,颈部受到的辐射影响,特别是儿童时期接受的头部及颈部放射治疗,显著提升了结节及甲状腺癌的发病率。以实例来看,那些早年接受过此类治疗的人群,其患病的可能性显著增加。
持续的紧张情绪与压力对内分泌系统产生影响,进而提升了甲状腺结节的发生概率。在现今社会,众多个体承受着高压力的工作与生活环境,此类情况很容易引发内分泌系统失调,对甲状腺健康造成不利影响。
生活习惯的影响
甲状腺功能对不良生活习惯尤为敏感。吸烟、过度饮酒及长期睡眠不足等问题,均可能导致体内激素失衡,从而损害甲状腺功能。众多个体因工作或娱乐导致长期熬夜,激素平衡易受破坏,这无疑提高了他们患上甲状腺疾病的风险。
甲状腺结节与肥胖及代谢综合征存在一定联系。体重超重或代谢功能异常的个体,其体内慢性炎症反应会加剧,从而提高了他们患甲状腺结节的可能性。

术后的注意事项
小美经历了甲状腺的完全切除手术,导致其身体无法自主分泌甲状腺激素。因此,她必须每天服用药物来维持正常的代谢功能,并预防肿瘤的复发或扩散。此外,术后小美需要在隔离病房内居住,以避免放射性碘对周围人员可能产生的潜在危害。
小美必须每隔3至6个月返回医院进行定期随访,利用超声波扫描和血液检测等手段,对癌细胞是否复发的征兆进行细致的观察与监控。

定期体检的意义
在甲状腺疾病的治疗中,早期诊断和治疗具有极其重要的意义。尤其是对于家族中存在病史的家庭成员,这一原则显得格外重要。若能在疾病初期及时发现并接受恰当的治疗,就有可能有效遏制病情的进一步恶化。例如,颈部异常肿块的发现不容忽视,患者应立即就医接受相应的检查。另外,对于超声检查中发现的疑似结节,定期按照规范进行复查,也是防止病情延误的关键措施。

请注意您及家人甲状腺的健康状态。本文内容值得推荐、收藏并广泛分享。如您对相关领域有独到见解,欢迎在评论区与我们互动交流。
