【来源:四川在线_滚动新闻】预计从27日傍晚开始至30日,成都市将出现强降温,日平均气温将累计下降7~9℃,27日傍晚至28日成都市有偏北风4~6级,局部地方风力可达7级或以上...
【来源:四川在线_滚动新闻】预计从27日傍晚开始至30日,成都市将出现强降温,日平均气温将累计下降7~9℃,27日傍晚至28日成都市有偏北风4~6级,局部地方风力可达7级或以上...
【来源:南海网】南海网3月25日消息(记者 李昊)潮涌东屿岛,共赴自贸诗行。3月25日,博鳌亚洲论坛2025年年会开启。海南自贸港建设成果展暨儋州城市展现场热度持续攀升。...
【来源:南海网】南海网3月25日消息(记者 姚皓)3月25日,博鳌亚洲论坛2025年年会《加强数字能力建设 跨越数字鸿沟》分论坛举办...
【来源:中国宁波网_民生城事】甬派客户端记者孙肖 通讯员 舒璐 王晓慧今天,宁波晴空万里,气温快速攀升。监测数据显示,海曙站以33.8℃创下今年开春以来最高气温纪录。不过...
【来源:广东省林业局_林业要闻】广州市积极深化集体林权制度改革,统筹生态保护和发展,精准提升森林质量,增强固碳中和功能,保护生物多样性,不断探索扩大森林保险覆盖面...
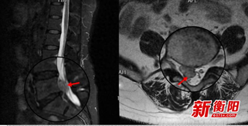
【来源:衡阳新闻网_热点关注】衡阳新闻网讯 通讯员王璐报道近日,衡南县人民医院骨科二区团队在中南大学湘雅三医院苗惊雷教授的指导下...
为了进一步提升干警们的健康意识,普及甲状腺及乳腺疾病的防治知识,南华大学附属南华医院甲乳外科吕鹏飞主任团队近日走进衡阳市公安局石鼓分局...
【来源:红网】红网时刻新闻3月25日湘西讯(通讯员 张雪 彭芳)“我把材料交给自助服务区的小姐姐,不到半天竟然就顺利拿到企业资质,早知道‘个转企’这么便捷早应该来...
【来源:大江网】大江网/大江新闻客户端讯 为普及应急救护知识,提升师生自救互救能力,3月19日至20日,抚州职业技术学院在学术报告厅举办“红十字救护员”培训班。...
【来源:湛江市遂溪县人民政府-遂溪新闻】为全方位抓好禁毒工作,补齐农村禁毒宣传短板。3月19日李庞生副镇长带领禁毒办全体干部到官田、扶良村委会开展“禁毒六进宣传”活动。...